2022年9月6日的早上,原本平静的清晨被一场意外无情打破。这天……
感谢你们给了我第二次生命!在这么短的时间里,我从失去意识……
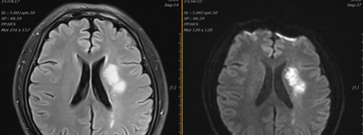
9月2日的凌晨,一场变故悄然袭击了仍忙碌在工作岗位上的吴先生……
丽日蓝天,热情似火。7月13日上午,安吉县人民医院盆底康复中心正式开科……
近日,安吉县首个由公立医院开设的医养融合康复护理院在县残疾人康复指导中心……
手是人类最精细、功能最复杂和使用最频繁的器官。在日常生活和工作中……
2023年4月11日是“世界帕金森病日”,今年的主题是“关注心理健康……
为进一步提升我院医疗服务水平,强化医疗技术水平,推进构建危重症救治体系……
9月23日,我院迎来了一位因车祸导致右足多发性骨折及皮瓣术后……
安宁疗护,也称为“临终关怀”“舒缓医疗”“姑息治疗”等……
压疮是危害人类生命的一大顽疾,是世所公认的医学难题……
2023年4月6日,中国太保旗下中国太保寿险在杭州举办康复医疗战略联盟浙江区域启动仪式……