浙江康复医院(浙江省中医院西溪分院康复中心)重症康复案例:杭城24岁研究生小伙溺水,ICU医生一个决定,鬼门关前拉回一条命!

    发布时间:2022-07-17 20:28:00    点击次数:

直到听护士长说去普通病房探望了小史(化名),浙江省中医院钱塘院区ICU主任张志荣医生悬着心总算是完全放下了。

今年24岁的小史是杭州一所大学的在读研究生。就在半个多月前,小史在下沙某公园游玩时不慎落水,在河里将近10分钟才被救上岸,情况十分危急。

“大概是晚上七八点送到我们医院的急诊的,送到时情况非常糟糕,心率185次/分,血氧饱和度66%,呼吸44次/分,血压95/50mmHg(大剂量升压药物维持),血气中的氧分压已低至39.5mmHg。”

你也许听不懂这些数据,但钱塘院区ICU值班金水芳副主任医师说,这表明当时小史已经处于极度危险的状态。

命悬一线,ICU医生果断做了一个决定

“不夸张地说,已经命悬一线了。”

张志荣医生说,当天小史被送到医院时,自己已经下班到家。

接到同事的电话,张志荣主任立马放下家事往医院赶,只用了十多分钟就赶回了。

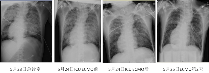
经过医院急诊和ICU的医生会诊评估,决定对小史使用ECMO(体外膜肺氧合)治疗。

张志荣主任说,ECMO治疗是一种高风险的有创治疗,但小史的情况已经到了不得不用的状态。“通俗地讲,小史的肺里呛入了很多水,肺功能已经非常差了。使用ECMO就是用设备暂时取代小史的肺,在保证小史生命体征的情况下,让肺得到休息并进行对症的治疗。”

小史的父母远在山东老家。

通过电话沟通后,父母表示,希望医生们能全力救治小史。浙江省中医院钱塘院区立刻为小史开通了绿色通道,为他进行了ECMO(体外膜肺氧合)治疗。

“我们很快就实施了治疗,但当时能不能把小史救回来,很难说。”张志荣主任说。

几度走向“鬼门关”,医生说,整个治疗过程捏把汗

小史进行ECMO治疗的第一晚,整个ICU里,医护人员几乎一刻不停地盯着小史的生命监测仪器,生怕一点微小的波动,就造成不可挽回的后果。

意外情况还是出现了,进行ECMO治疗的第二天夜里,小史突然出现了恶性心律失常的情况,心跳突然异常,血压也恶化了。“我们赶紧使用药物对心律失常的情况进行处置。”同时,医生们也从小史的家人那里了解到,小史有先天性心脏病,十多年前动过手术。

“我们当时已经做好随时调整ECMO的治疗方案,让ECMO替代他的一部分心脏功能,好在药物把他的心脏问题稳住了。”张志荣主任说,那天的紧急治疗过程让整个ICU科室捏了一把汗。

在上ECMO的第三天,小史的肺部情况持续好转,当天就顺利撤下了ECMO。

之后,医生们又使用预防肺部感染的药物和脑功能监测、纤维支气管镜等治疗手段,对小史进行治疗。

随着医生们的精心治疗,小史的生命体征逐渐趋于平稳,但人一直处于一个昏迷的状态。

“他朝我们眨了眨眼,我们当时真的很激动”

当小史的生命体征稳定之后,医生们的治疗方案就开始聚焦在,如何让小史醒过来。

“因为溺水,他肯定是窒息缺氧过。如果大脑缺氧时间过长,可能出现的情况就是醒不过来。”张志荣主任说,整个治疗过程中,虽然小史处于昏迷,但他能感觉出来,这个年轻的生命足够顽强。

“整个救治过程中,还几次惊险,他都挺过来了。”

张志荣主任记得很清楚,5月28日,也就是小史出事后的第五天,躺在ICU病床上的小史突然眨了眨眼睛。“当时是我们一个当班的同事看到了,一发现就马上把好消息告诉了大家。”张志荣主任说,“蛮激动的,眨眼睛了就说明有苏醒的迹象。”

之后的几天,小史逐渐从昏迷中清醒过来,也能正常说话。“除了对事发当天的情况已经没有印象了,其他各项生理机能都恢复得不错。”

端午节前,小史成功转入普通病房观察诊治,状态一天比一天好。

随着夏季到来,不慎落水或者在戏水时突发溺水的情况逐渐增多。

“虽然对小史的救治可以说是很成功的,但我们依旧想呼吁,切勿在陌生水域下水嬉戏,尽量不要靠水域边行走玩耍。一旦出现落水、溺水一定要第一时间呼救。”张志荣主任说。

电话咨询
声明:杭州康复养老平台(智慧康养),提供杭州公立康复中心、杭州康复医院、杭州养老院查询服务,分享康复养老干货,本平图片来源于网络,转载仅为分享知识!如侵犯了您的权益,请联系我们更正或删除,谢谢!
浙ICP备19013084号-1