37岁男子脑梗死!宁波明州医院神内团队成功实施非急性期颈内动脉再通术,开展早期康复

    发布时间:2023-03-05 11:07:00    点击次数:

熬夜、抽烟、喝酒、饮食油腻、缺乏运动……这些不良生活习惯,就像长期埋在身体中的“定时炸弹”,让37岁的徐先生不幸“踩雷”——脑梗死。

浙江大学明州医院神经内科的副主任医师孟明提醒广大年轻人,脑梗死不是老年人的专利,近年来年轻人发生脑梗呈现明显增多的趋势,一定要引起高度重视。

男子发生脑梗死,医生及时手术预防再中风

3周前,徐先生的身体发出了报警信号,出现右侧身体麻木乏力、饮水呛咳等症状。

“因为症状比较轻,我就没有放心上,照常工作和生活。”徐先生回忆说。

被忽视的病况并没有就此好转,反而愈发严重。

6月2日清晨,徐先生突然发现自己说话说不清,口角歪斜、右侧身体活动不灵活,行走不稳,吓得他赶紧前往浙江大学明州医院就诊。

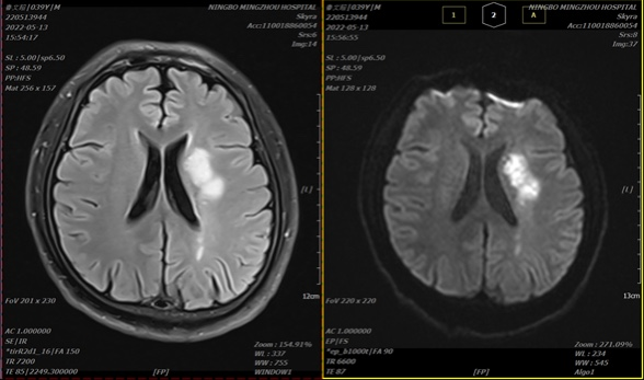
做了磁共振检查后,医生发现他左侧的大脑半球已经出现一个比较大的梗死,确诊为脑梗死、左侧颈内动脉闭塞。

要知道,颈内动脉是连接心脏和大脑血供的桥梁,一旦狭窄甚至闭塞,就会引起该动脉供血区缺血、大面积脑梗塞,进而导致残疾,甚至猝死等严重后果。

由于徐先生的颈内动脉闭塞,左侧大脑半球广泛缺血严重,此时用药已于事无补,最要紧的便是打通血管、畅通血流、恢复灌注,降低再次出现脑梗死的几率。

但是开通手术具有血管夹层、脑出血等风险,而且开通的成功率并不高,是神经介入领域高难度的手术之一。

为了确保患者的生命安全,明州医院神经内科团队在杜小鹏主任领导下反复讨论患者病情,对术中可能出现的各种困难、风险及其应急处理做了充分预案,最终制定了详细的手术方案。

6月3日一早,徐先生被推进了DSA手术室,手术由神经内科副主任医师孟明主刀,主治医师卢志航协同配合。

▲术前血管闭塞,血供受阻

术中,通过注射造影剂,可以发现患者的颈内动脉闭塞段很长,导丝前进非常困难,并且极易出现动脉夹层甚至误穿,一道道难关摆在了神经内科介入团队的面前。

手术艰难挺进,孟主任凭借精湛过硬的技术、丰富的临床经验,闯过一个个“关隘”,手术最终取得了圆满成功。

医生再次注射造影剂后,动脉造影显示,患者颅内半球成功恢复了循环血供,完美实现颈内动脉再通!

▲术后血流畅通

▲手术抽出来的血栓

脑梗死年轻化,医生:警惕不良生活习惯

常常听说老年人得脑梗死,为什么三十多岁的小伙也会脑梗死呢?

孟明主任在与徐先生的交谈中揪出了病因:“他的生活习惯很不好,抽烟、喝酒、熬夜、不运动、饮食油腻……一个不落,此外他还有很多基础疾病,高血压、颈动脉硬化、冠状动脉粥样硬化性心脏病、脑梗死个人史、痛风等。”

这些因素加在一起,最终促使血栓形成,血管堵塞,最终造成脑梗死。

因此,在徐先生出院时,医生除了一再叮嘱定期复查,积极康复训练以外,还劝告他一定要戒烟、少饮酒、不熬夜。

孟明主任介绍,近几年脑卒中(又称脑中风,可分为脑梗死与脑出血)有年轻化趋势,四五十岁、甚至二三十岁也会遇到。

他们大多有不良的生活方式,有些人甚至都不知道自己已经得了高血压、高血糖、高血脂,常年不做体检,即使发现疾病也毫不重视,放之任之,不看医生。

这些不良习惯给他们的健康埋下了巨大的隐患。而一旦发病,为时已晚。

对此,孟医生提醒广大市民,脑梗是危害人民健康的重大疾病,一定要引起高度重视。假如你出现突发晕眩、口角歪斜、言语含糊、视物不清、肢体麻木无力、不听使唤等情况,一定要立即就诊,以免耽误病情。

点击友情链接,进入浙里康复养老网,查询更多康复养老机构

电话咨询
声明:杭州康复养老平台(智慧康养),提供杭州公立康复中心、杭州康复医院、杭州养老院查询服务,分享康复养老干货,本平图片来源于网络,转载仅为分享知识!如侵犯了您的权益,请联系我们更正或删除,谢谢!
浙ICP备19013084号-1