智慧康养科普:脑梗死患者的头部CT,你真的会看吗?

    发布时间:2022-10-14 09:58:00    点击次数:

卒中是造成患者死亡和残疾的主要原因之一,其中超过80%的卒中为缺血性。而头部CT扫描则是鉴别出血和缺血性病变,并排除脑卒中类似疾病的重要初始检查。此外,CT血管造影也对指导患者的诊治起到了重要作用。通过下面的实战影像,一起学习一下吧。

动脉高密度征

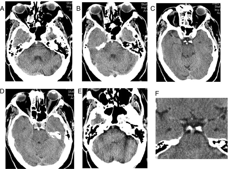
例1

图1  60岁男性,急性缺血性脑卒中,A~E:CT平扫;F:血管造影冠状位重建

左侧颈内动脉末端、大脑中动脉及其大脑外侧裂的分支可见高密度血栓影。大脑中动脉高密度征的特异性几乎为100%,但敏感性只有5%~50%。

此外,左侧大脑外侧裂周围皮质可见界限不明确的稍低密度影,豆状核模糊,反映了早期缺血性改变。CT血管造影证实左侧颈内动脉末端、大脑中动脉的M1段和M2段闭塞,远端可见少量侧支循环血流。

例2

图2  66岁男性,头晕发作数小时后失去意识,A~D:就诊时的CT平扫;E、F:2周前的CT平扫

本例患者表现为基底动脉高密度征。与大脑中动脉高密度征相比,基底动脉高密度征的敏感度更高,为71%,特异度98%。不过,由于后颅窝区域的CT扫描会受到伪影的影响,因此脑实质的梗死检出率不高,并且一些脑干的梗死灶虽然造成了显著神经功能缺陷,但病灶本身可能很小,难以识别。

例3

图3  65岁女性,突发左侧无力、左侧同向偏盲,A:就诊时CT;B~D:36小时后CT;E:5天后CT

本例患者为右侧大脑后动脉的高密度征。在最初就诊时,患者的脑实质显得很正常,而在36小时后,患者右侧枕叶和右前丘脑出现密度降低。5天后,患者脑内的梗死灶演变成了明显的低密度,边界较清晰。

大面积脑梗死的早期征象

例4

图4  81岁男性,既往房颤、2型糖尿病,缺血性卒中超急性期,卒中后1.5小时,NIHSS评分26分,A~E:就诊时CT;E~F:静脉溶栓2天后CT

患者就诊时的CT除了左侧颈内动脉末端的致密影之外,还可以看到岛叶密度降低,豆状核模糊,大脑中动脉供血区超过1/3的区域出现了模糊不清的稍低密度,左脑半球肿胀,脑沟消失。本例患者广泛的早期缺血性改变与脑水肿,使得溶栓或取栓术后的出血性转化风险显著上升。

例5

图5  60岁男性,缺血性脑卒中超急性期,A~B:发作后2小时CT;C:发病3天后CT

本例患者右侧大脑中动脉M1段可见高密度影,大脑中动脉供血区超过1/3的区域出现了低密度的早期缺血改变。本例患者接受了静脉溶栓治疗,但没有从中获益。

3天后患者的CT扫描确定了右侧大脑中动脉供血区的梗死。此时病灶更加清晰易见,病灶密度更低、边界更清晰,并有轻微的占位效应,大脑外侧裂消失。占位效应通常在发病后3~5天最为明显,很少非常大,但有时可能与脑疝相关。脑水肿在发病第一周后开始减轻,通常在12~21天后消退。

例6

图6  65岁男性,左颈内动脉闭塞合并右侧偏瘫,A~C:初始CT;D~F:24小时后CT;G~I:48小时后CT

本例患者的初始扫描中可以看到左侧大脑中动脉高密度征,此时脑实质基本正常。24小时后,患者的脑梗死区域显示明确,并伴有轻度肿胀;48小时后进一步演变为大面积脑梗死伴脑疝,这种情况导致大脑后动脉区继发性梗死的风险升高,大脑镰下疝则导致大脑前动脉梗死。

对于发生脑疝的患者,去骨瓣减压术可能有助于减轻大面积脑水肿和继发性梗死的影响,但除了小脑半球梗死引起的脑疝之外,其他梗死的手术仍然存在一定争议。

CT血管造影的线索

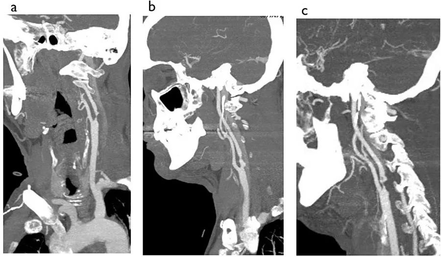
例7

图7  病史不详,A~B:发病后2小时CT平扫;C~D:CT血管造影(CTA)冠状位重建

CT平扫中可见左侧大脑中动脉高密度征,同时基底节区灰白质界限模糊,岛叶和豆状核显示欠清。CTA确认了左侧颈总动脉和大脑中动脉M1段的闭塞,左颈动脉球和颈内动脉起始部位可见严重狭窄(图中箭头),这种血管狭窄需要在取栓术后进行血管成形术治疗。

例8

图8  65岁男性,左侧大脑半球短暂性脑缺血发作,图为包括主动脉弓、颈部和颅内动脉的CTA,A:斜冠状位;B:矢状位;C:斜矢状位

不难看出,本例患者左颈动脉球和颈内动脉起始处可见严重不规则狭窄,而这也是患者出现短暂性脑缺血发作的罪魁祸首。

例9

图9  另一例左侧大脑半球短暂性脑缺血发作患者,A:斜矢状位;B:斜冠状位

本例患者的左颈动脉区域可见串联状病变,左颈内动脉起始处有密集的钙化斑块,造成血管的严重狭窄,同时左侧颈总动脉也可见严重狭窄(图中箭头)。不过,超声扫描并未检出左颈总动脉的病变。这种在血管分叉处密集的不规则斑块钙化会使测量精确的管腔尺寸变得更困难。

电话咨询
声明:杭州康复养老平台(智慧康养),提供杭州公立康复中心、杭州康复医院、杭州养老院查询服务,分享康复养老干货,本平图片来源于网络,转载仅为分享知识!如侵犯了您的权益,请联系我们更正或删除,谢谢!
浙ICP备19013084号-1